Package

Gynaecology Scans

Comprehensive pelvic ultrasound evaluations for a wide range of non-pregnancy female health concerns, symptoms, or referrals.

Routine & Diagnostic Gynaecological Scans

Symptom-Based & Condition-Specific Scans

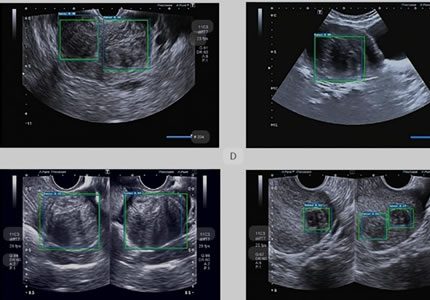
Device & Surgical Follow-Up

Gynaecology Scans